“拍片子看得到盆腔肿物,但之前在外地医院手术时竟发现不了肿物的踪影!真是奇了怪了!”38岁的李女士感到非常无奈,看着肿物越来越大,病情越发严重,李女士非常着急,来到梅州市人民医院妇三科想寻求解决办法。
接连逃过两次 这个肿瘤到底藏在哪?
来我院妇三科就诊之前,李女士在外院已经做了两次手术,第一次是在当地医院进行开腹探查术取出盆腔肿物一个,可术后复查却发现仍有盆腔肿物。随着肿物增大,李女士出现了便秘、排便急且排不尽等肠道症状,又一次到广州进行手术,由于开刀后没有找到肿物,仍然无法切除。奇怪了,这个肿物究竟藏在哪里了?
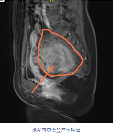
李女士很焦虑,经朋友介绍来到我院妇三科就诊,雷南香主任团队为患者进行仔细检查,经过三合诊,也就是经直肠、阴道、腹部联合检查,发现肿物位于子宫体中下段-宫颈后壁肌壁间/浆膜下,在阴道壁及直肠间,并向上延伸至骶前,边界清,大小约8.3×10.9×10.5cm,为盆腔腹膜后肿瘤,肿物被腹膜包裹,且被上方直肠乙状结肠遮盖,位置相当隐匿且罕见。
多学科协作微创切除肿物 保护脏器功能
由于肿瘤较大且位置特殊,周围有重要神经和丰富血供,附近区域组织结构复杂,前方紧邻直肠壁,术中极易损伤导致不可控性大出血,手术难度大。
为了减少手术创伤,保全肿瘤邻近神经器官功能,妇三科联合胃肠外一科、影像中心、麻醉科等多学科专家制定了详细的手术方案,为患者实施腹腔镜下盆腔腹膜后肿瘤切除术。手术历时2小时,完整切除肿物,术中出血量控制在200ml以内,直肠壁及输尿管、盆底神经得到良好保护,术后病理提示为子宫平滑肌瘤。
李女士术后康复良好,术后第1天恢复排气,肛门坠胀感消失,术后第3天开始恢复正常饮食并拔除引流,顺利康复出院。
雷南香主任指出,盆腔腹膜后平滑肌瘤起源于腹膜后精索、血管、中肾管或苗勒管残余等含平滑肌的组织,肿瘤因为隐藏在盆腔腹膜后,不易在盆腔中找到,妇科经直肠、阴道、腹部三合诊能帮助明确肿物位置。
子宫肌瘤发病率高,但特殊部位的不常见,后腹膜/骶前肿物患者早期难以察觉,待症状出现时肿瘤已经较大。专家提醒,大家应定期进行体检,及时发现肿物,早诊断、早治疗,将疾病遏制在萌芽状态。

